+918042754192
Currently it only shows your basic business info. Start adding relevant business details such as description, images and products or services to gain your customers attention by using Boost 360 android app / iOS App / web portal.

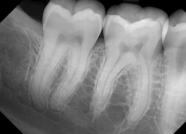
Discovered in 1895, radiographs are a crucial diagnostic tool in dentistry. They allow dentists to visualise images of the teeth, gums, and bones, identifying problems not visible to the unaided eye. Dental X-rays detect problems like cavities, decay beneath existing fillings, gum disease and infections in the early stages, allowing for prompt treatment, thus preventing progress of the disease and further complications. APPLICATIONS Assessment of Tooth and Bone Health: X-rays reveal the health of teeth and their supporting structures, including bone loss, impacted teeth, and other abnormalities. Treatment Planning:They provide crucial information for planning various dental procedures, including orthodontics, root canals, and implants. Evaluation of Oral Pathologies: X-rays can identify cysts, tumors, and other lesions, aiding in diagnosis and treatment strategies. Follow-ups: X-rays taken at regular intervals help to track the progress or healing of a lesion At Dr. Gallani’s Dental Care, we use the X-Mind Dental Xray and Carestream digital sensors along with lead aprons for the sharpest intraoral dental images with minimum exposure to ionizing radiation. If you need a dental xray, contact us on 08042754192 at Dr. Gallani’s Dental Care in Aundh or www.gallanidentalcare.com now!